Estenosis de Canal
A medida que envejecemos la columna vertebral cambia, y esto puede implicar una degeneración de los elementos que la constituyen. Estos cambios pueden conducir a enfermedades degenerativas como la estenosis de canal.
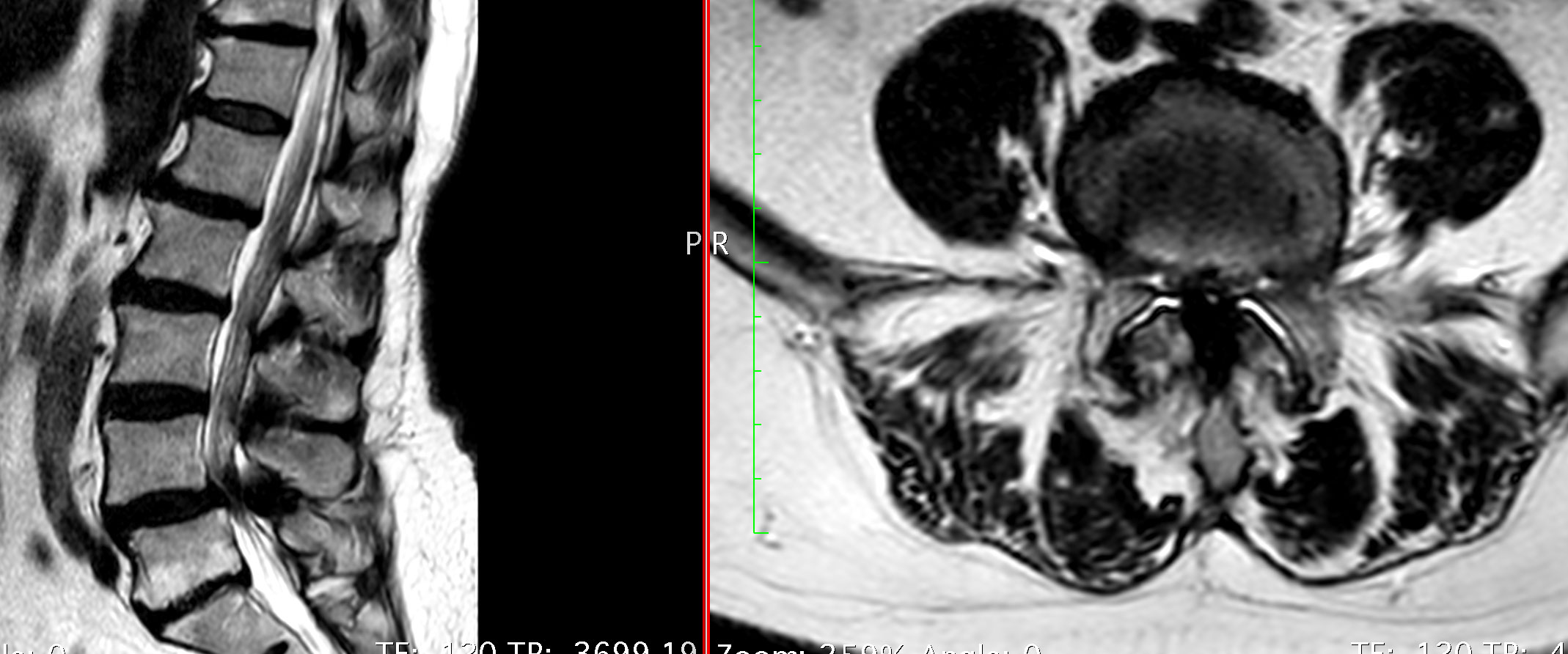
La estenosis de canal se produce cuando se reduce el espacio que rodea a la médula espinal. Esto genera una presión sobre las estructuras internas que puede producir dolor lumbar y/o ciático y claudicación a la marcha.
Sus síntomas se desarrollan lentamente a lo largo del tiempo, con reagudizaciones más frecuentes conforme avanza la estenosis, y pueden aparecer y desaparecer. En general. El síntoma más frecuente y más específico es el dolor.
Síntomas de la estenosis lumbar
- Molestias o pesadez durante cualquier actividad que implique estar de pie.
- Hormigueos y debilidad en las piernas.
- Dificultad para caminar, inestabilidad.
Los síntomas se alivian con el reposo (sentarse o acostarse) y/o cualquier posición flexionada hacia delante.
Síntomas de la estenosis cervical
- Dolor de cuello punzante e intermitente.
- Rigidez del cuello o rango de movimiento reducido debido al dolor de cuello, hinchazón y/o espasmos musculares.
- Dolor radicular cervical cervical que irradia desde el cuello hacia el hombro, el brazo, la mano y/o los dedos.
- Radiculopatía cervical que puede incluir hormigueo, entumecimiento, problemas con los reflejos y/o debilidad que afecta el hombro, el brazo, la mano y/o los dedos.
- Cuando se experimentan déficits neurológicos en ambos lados del cuerpo, también podría ser un signo de mielopatía (compresión de la médula espinal).
Causas
Primaria
Ésta es el resultado de una enfermedad o lesión en la columna. Puede deberse a alteraciones en la forma de las vértebras desde el nacimiento. Las alteraciones vertebrales pueden ser aisladas o asociarse a otras anomalías de los huesos (acondroplasia).
Adquirida (y más frecuente)
La causa principal de estenosis espinal adquirida es el desgaste natural de la columna como resultado del proceso normal de envejecimiento. Se trata de una de las dolencias asociadas a la edad que aparece normalmente a partir de los 60 años.
La causa directa más común de estenosis espinal es la Inestabilidad del segmento lumbar que el cuerpo quiere compensar hipertrofiando las estructuras de la vértebra (articulaciones facetarias y ligamento amarillo).
Tratamiento
- Tratamiento quirúrgico
La estenosis de canal lumbar es una de las cirugías más realizadas mediante técnicas mínimamente invasivas como la endoscópica.
Está específicamente indicada para pacientes que tienen problemas en el día a día debido al dolor y debilidad. Las dificultades para caminar de los pacientes con este tipo de patología es uno de los motivos por los que se lleva a cabo la cirugía: la búsqueda de una mejora en la calidad de vida.
Es importante realizar la cirugía antes de que los síntomas neurológicos (debilidad e inestabilidad) sean irrecuperables.
Otras patologías de Columna
Pulsa en cada una de ellas para conocer su tratamiento.